Компьютерная томография (КТ) головного мозга представляет собой мощный диагностический инструмент, способный предоставить детализированные изображения структур мозга. Этот метод широко используется в медицине для выявления различных патологий и оценки состояния тканей мозга.
Что такое КТ головного мозга?
КТ головного мозга что показывает? — это диагностическая процедура, которая использует рентгеновские лучи и компьютерную обработку для создания детальных изображений мозговой ткани. КТ сканирование задействует сканирование под различными углами, что позволяет получить трехмерное изображение.
Преимущества метода
- Высокая скорость исполнения: Процедура занимает минимальное время и подходит для срочных случаев.
- Высокая точность: КТ предоставляет детализированное изображение анатомии мозга, что помогает в диагностике.
Когда назначается КТ головного мозга?
Врач может назначить КТ головного мозга для диагностики или исключения ряда заболеваний и состояний.
Основные показания:
- Травмы головы: Определение повреждений после тупой травмы, такие как кровоизлияние или перелом черепа.
- Инсульт: Быстрое выявление инсульта, что имеет критическое значение для успешного лечения.
- Опухоли и новообразования: Диагностика и контроль динамики изменений.
- Головные боли и мигрени: Поиск возможных причин неясного происхождения боли.
- Инфекционные заболевания: Обнаружение абсцессов и воспалительных процессов.
Что показывает КТ головного мозга?
КТ позволяет врачам получить детализированную информацию о следующих аспектах состояния головного мозга:
Изучение костных структур
- Переломы и анатомические аномалии: Оценка состояния костей черепа на наличие трещин или переломов.
- Синусовые полости и аномалии: Анализ состояния пазух околоносовых областей.
Мягкие ткани и сосуды
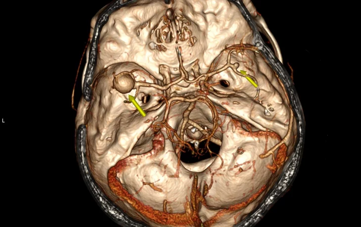
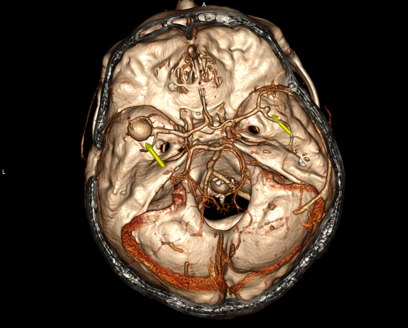
- Гематомы и кровоизлияния: Идентификация и локализация внутричерепных кровоизлияний.
- Тканевые изменения: Обнаружение опухолей, кист или иных аномальных образований в мозговой ткани.
Объемные процессы
КТ помогает в определении наличия и локализации объемных процессов, таких как опухоли или кисты.
Судорожные расстройства
Диагностика возможных причин судорожных состояний, таких как эпилепсия или посттравматические изменения.
Как проходит процедура?
Процедура компьютерной томографии головного мозга разработана для обеспечения максимального комфорта и эффективности:
Подготовка: Пациенту может понадобиться снять металлосодержащие предметы. В определенных случаях может использоваться контрастное вещество, вводимое внутривенно.
Сканирование: Пациент укладывается на стол, который перемещается внутрь кольцевого сканера. В это время аппарат делает серию снимков.
Обработка данных: Полученные изображения анализируются радиологом, который предоставляет заключение.
Безопасность и рекомендации
Компьютерная томография безопасна для большинства пациентов. Однако есть определенные рекомендации и предосторожности:
- Избегать частых обследований: Облучение безопасно при соблюдении норм, однако не рекомендуется чрезмерное применение без веских медицинских показаний.
- Контрастные вещества: Предварительное обсуждение с врачом особенно важно для пациентов с аллергией или хронической почечной недостаточностью.
- Беременность: Женщинам во время беременности процедура проводится только в случае крайней необходимости.
Новый взгляд на диагностику
КТ головного мозга продолжает развиваться и совершенствоваться. С развитием технологий, таких как реконструкции изображений и уменьшение дозы облучения, этот метод диагностического исследования становится более доступным и безопасным.
Будущие перспективы
Исследования в области повышения разрешающей способности и автоматической обработки изображений могут значительно улучшить диагностические возможности КТ. Это даст врачам ещё больше информации для постановки точного диагноза и лечения пациентов.
Заключение
КТ это один из наиболее востребованных методов диагностики в нейрологии и нейрохирургии. Её точность и скорость позволяют эффективно решать широкий спектр медицинских задач, от диагностики инсультов до выявления опухолей, что делает её незаменимым инструментом в руках медицинских профессионалов.
- Комментарии













